1 / 6

자연치아살리기

자연치아 살리기 - 보존과 진료

보존과 전문의의

안심충치치료 

충치가 발생하게 되면 초기에는 통증 등의 이상 증상이 없어 치과에 방문하지 않는 경우가 많습니다. 충치를 오래 방치할 경우 통증이 발생되거나 염증으로 치아 신경 부위까지 세균에 감염되어 신경 치료까지 필요할 수 있습니다. 

과잉진료 없는 믿을 수 있는 충치치료

치과마다 충치치료
개수가 다른 이유
무엇일까요?


충치는 무조건 치료를 해야한다고 생각할 수 있지만 충치의 종류에는 치료하지 않으면 계속 진행이 되는 진행형충치와 충치가 더 이상 진행되지 않는 정치성 충치가 있습니다. 디지털아트치과는 보존과 전문의가 치아의 사진과 X-ray사진을 면밀히 분석하고 환자분과의 상담을 통해 충치의 치료범위를 함께 고민하고 결정합니다. 

 

 진행형 충치 

초기에는 미세한 충치가 발생하지만, 시간이 지나면서 세균이 더 깊이 침투해 치아의 내부 구조까지 영향을 미칠 수 있습니다.  치료하지 않으면 통증이나 치아 손실로 이어질 수 있습니다. 

 정지성 충치

정지성 충치는 더 이상 진행되지 않거나 활동이 멈춘 충치입니다. 이런 경우는 치료 후 상태가 유지되기 때문에 더 이상 진행되지 않도록 예방관리가 중요합니다.   

DIGITAL ART DENTAL CLINIC

충치진행 단계

충치치료는 충치의 진행단계에 따라 치료방법이 결정되며 부위가 작고 초기 진행단계에서 하는 것이 가장 좋은 치료 방법입니다.

디지털아트치과 보존과 특화치료

모두가 임플란트를 이야기할 때, 대학병원 보존과 출신 전문의는 살릴 수 있는 마지막 가능성을 먼저 확인합니다.

디지털아트치과가 0.1mm의 치아 삭제에도 집착하는 이유, 가장 좋은 치아는 이미 당신 입안에 있기 때문입니다.


임플란트가 아무리 좋아도

타고난 내 치아보다 좋을 수는 없습니다

자연치아
자연치아
임플란트
임플란트

DIGITAL ART DENTAL CLINIC

충치치료 방법

충치치료는 충치의 진행단계에 따라 치료방법이 결정되며 부위가 작고 초기 진행단계에서 하는 것이 가장 좋은 치료 방법입니다.

DIGITAL ART DENTAL CLINIC

대학병원 출신 전문의

원칙을 지키는 섬세한 진료


충치치료는 보존과의 전문영역입니다.


디지털아트치과는 보존과 전문의가 글로벌 미세현미경을 이용하여 충치치료를 섬세하고 꼼꼼하게 치료하고 있습니다. 대학병원 급 글로벌 미세현미경을 이용하여 잔존 염증이 남지 않도록 치료합니다.


보존과 전문의

최양정 원장


보건복지부 인증 치과보존과 전문의

보건복지부 인증 통합치의학과 전문의

부산대학교 치의학전문대학원 석사 

부산대학교 치의학전문대학원 박사수료 

SCI급 저널 논문(Plos One)저자

부산대학교 치과병원 인턴 

부산대학교 치과병원 치과보존과 레지던트 

대한치과근관치료학회 정회원 

대한치과보존학회 정회원 

대한치과보존학회 인정의 




01. 진단 원칙

"치료하지 않을 용기, 그것이 진짜 보존 치료의 시작입니다."

충치가 있다고 해서 무조건 기계를 대지 않습니다. 충치에도 진행이 멈춘 '정지 우식'과 치료가 시급한 '활성 우식'이 있습니다.

이를 구분하는 것이 대학병원 보존과 전문의의 핵심 역량입니다.

정지 우식
정지 우식
활성 우식
활성 우식

과잉 진료가 없는 이유 당장 치료가 필요 없다면 "지켜봅시다"라고 말합니다. 


무조건 긁어내기보다 관리가 더 유리한 경우를 선별해 내는 것, 그것이 디지털아트치과의 양심입니다.


MI (최소 침습) 원칙 치료가 불가피하다면, 


치아의 수명을 위해 본인의 건강한 치질을 0.1mm라도 더 남기는 것을 제1원칙으로 삼습니다.

미세수복 (Micro-Resin) 

의사가 번거로워질수록, 환자의 치아는 더 오래갑니다.

일반적으로 편의상 하나의 드릴(Bur)로 충치를 일괄 제거하는 경우가 많습니다. 하지만 디지털아트치과는 다릅니다.

1. 도구를 바꾸는 수고로움 (Micro-Bur) 충치의 크기와 깊이에 따라, 다양한 종류의 **초소형 버(Bur)**를 수시로 교체하며 진료합니다. 

이 과정은 의료진에게 매우 번거로운 일입니다. 하지만 이 수고러움이 환자분의 소중한 치아를 0.1mm라도 더 지켜낼 수 있기에, 우리는 타협하지 않습니다.

2. 러버댐 (Rubber Dam)의 원칙 레진의 접착력을 떨어뜨리는 침과 습기를 원천 차단합니다. 시간이 더 걸리더라도 완성도 높은 치료를 위해 고무막 격리는 '선택'이 아닌 '필수'입니다.

3. 프리미엄 재료 고집 시간이 지나도 변색이 적고 단단한 고가의 프리미엄 레진만을 사용하여, 심미성과 기능을 동시에 확보합니다.

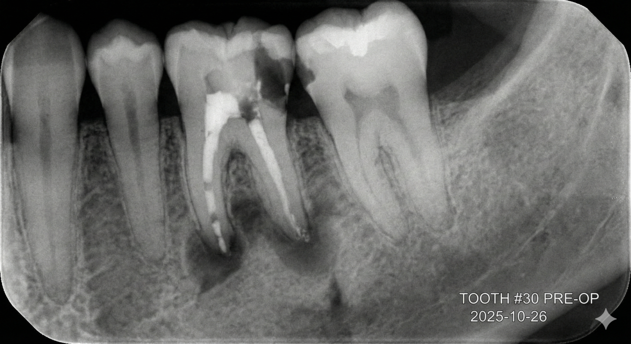
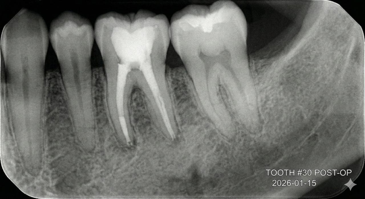
신경치료

보이지 않는 신경관, 세균과의 싸움에서 타협은 없습니다.

신경치료의 본질은 '완벽한 감염 관리'입니다. 눈에 보이지 않는 치아 뿌리 끝까지 멸균 상태를 만들기 위해, 

대학병원의 교과서적 원칙을 그대로 따릅니다.

Counting (기구 사용 횟수) 엄격 제한 신경관을 넓히는 'NiTi 파일'은 소모품입니다. 눈에 보이지 않는 금속 피로도로 인한 기구 파절 사고를 막기 위해, 고가의 장비임에도 정해진 횟수 사용 후 즉시 전량 폐기합니다.

초음파 세정 (Sonic Irrigation) 약물이 닿지 않는 미세한 틈의 세균까지 잡기 위해, 미세 초음파 진동으로 신경관 내부를 물리적으로 한 번 더 씻어냅니다. 재발률을 낮추기 위한 고난도 과정입니다.

재신경치료

다른 곳에서 포기한 치아, 디지털아트치과가 한 번 더 봅니다.

재신경치료는 과정이 까다롭고 성공률을 장담하기 어려워, 많은 곳에서 발치 후 임플란트를 권하곤 합니다. 하지만 우리는 압니다.

환자분에게는 '내 치아를 더 쓰고 싶은 간절함'이 있다는 것을.

정확한 실패 원인 분석 미세현미경을 통해 육안으로 보이지 않는 미세한 금(Crack)이나, 이전 치료에서 놓친 숨은 신경관을 찾아냅니다.

희망 고문 없는 정직한 진료 무조건 살린다고 장담하지 않습니다.

의학적 근거를 바탕으로 '살릴 수 있는 치아'와 '이제는 보내줘야 할 치아'를 정확히 판독하여, 환자분이 납득할 수 있는 최선의 길을 제시합니다.

치아를 살리는 기술, 그 바탕에는 '원칙'이 있습니다. 쉽게 가는 길보다, 바르게 가는 길을 택하겠습니다. 

당신의 소중한 자연치아, 디지털아트치과가 끝까지 지키겠습니다.

DIGITAL ART DENTAL CLINIC

보존과 전문의

최양정 원장

· 보건복지부 인증 치과보존과 전문의

· 보건복지부 인증 통합치의학과 전문

· 부산대학교 치의학전문대학원 석사 

· 부산대학교 치의학전문대학원 박사 수료

· SCI급 저널 논문(Plos One)저자

· 부산대학교 치과병원 인턴

· 부산대학교 치과병원 치과보존과 레지던트

· 대한치과근관치료학회 정회원

· 대한치과보존학회 정회원 

· 대한치과보존학회 인정의 

· 미세현미경 신경치료, 수복치료, 보존과 중점진료 

· Microscope specialist

 DIGITAL ART DENTAL CLINIC

디지털아트치과 TV

 신준혁원장의 디지털아트치과

다양한 의료방송을 통하여 올바른 치과치료 정보를 전달하는 디지털아트입니다.

  • 임산부라면 ! 엄마라면 꼭 알아야 할 이야기

    임신·출산기때 구강 관리가 내 아이 치아건강을 좌우한다...?!!😧(Feat.임신성치은염)

  • [부산임플란트] 자기치아살리기!

    미세현미경을 이용한
    충치치료 feat.보존과전문의

  • [건강365] 찬물에 시린 이,

    괜찮을까? 상아질 지각과민증! 시린 이

DIGITAL ART DENTAL CLINIC

분과별 전문의 진료

 

치아문제로 위축되어 있었던 모습을 가장 나 다운 모습으로 다시 회복하고

건강을 되찾을 수 있도록 디지털아트치과 전 의료진이 항상 함께 하겠습니다.

예약/상담


051.515.8267



네이버 예약 서비스를 통해 빠르고 간편하게 예약이 가능합니다.



주차안내


디지털아트치과는 더 라움, 경남 지정주차장을 운영하고 있습니다. 주차권 지참 후 내원해주세요.


더라움주차장

부산 부산진구 가야대로 756번길13 

경남 주차장

부산 부산진구 가야대로 750번길15


찾아오시는 길

- 부산광역시 부산진구 부전로 79 (부전동, 동아빌딩) 1-3층

디지털아트치과

051-515-8267

부산광역시 부산진구 부전로 79, 동아빌 1~3층(부전동, 동아빌) | 사업자등록번호: 221-15-15064

*2026년 1월 1일 부터 토요일은 점심시간 없이 오전 10:00 - 오후 14:00 까지 진료합니다

료시간


  평일  오전 10시 - 오후 6시
  토요일 오전 10시 - 오후 2시 ( 점심시간 없음)
  점심시간  평일 오후 1시 - 2시
  공휴일
  공휴일, 임시 공휴일 휴진



 Copyright © DigitalArtDentalClinic.All right reserved.

051-515-8267

진료안내

월-금

토요일

점심시간

일 요 일


오전 10:00 - 오후 18:00

오전10:00-오후14:00 (점심시간 없음)

오전 13:00 - 오후 14:00

정기휴무 ( 매주 일요일 )

*2026년 1월 1일 부로 토요일은 점심시간 없이 오전 10:00-오후 14:00  까지 진료합니다

  부산광역시 진구 부전로 79, 동아빌딩 1-3층(부전동,동아빌딩) 
  사업자등록번호 221-15-15064  |  상호명 : 디지털아트치과

  Copyright © DigitalArtDentalClinic.All right reserved.

월-토
진료
상담예약 아이콘 실시간예약 네이버예약 아이콘 네이버예약 전화문의 아이콘 진료문의 전화문의 아이콘 유투브 TOP ▲